Iranzu Larrasoaña Oneca (Pamplona, 1995). Cubriendo información para Navarra.com desde 2022. Antes en las secciones de Sucesos, Sociedad, Cultura y Empresa de Diario de Navarra, El Correo (Álava) y Navarra Capital. Disfruto capturando historias con la cámara. Graduada en Comunicación Audiovisual por la Universidad de Navarra. Contacto: [email protected]
Cohesión Territorial ha activado un dispositivo por distritos y pide extremar la precaución: la previsión apunta a un desplome térmico y una bajada rápida de la cota de nieve hasta el lunes.
La edil popular Mariluz Moraza critica que el Ayuntamiento elimine la cobertura nocturna de lunes a jueves y advierte de menos respuesta ante emergencias y más inseguridad en la calle.
El reconocimiento de la Cabalgata de Reyes Magos ha puesto el foco en la labor social de la entidad y en su red de voluntariado en Navarra, con proyectos internacionales y respuestas en emergencias.
La nueva instalación mejora la cobertura de la red TETRA en Bardenas Reales y asegura las comunicaciones de Policía Foral, Bomberos, ambulancias y 112-SOS Navarra en intervenciones.
El cantautor estadounidense y la creadora de contenidos Samantha Leonard han celebrado una boda de noche en Santa María, con preboda en Miramar y un curioso detalle en la tarta.
El choque se ha producido a la altura del kilómetro 102,5 en sentido norte y ha movilizado a Bomberos de Tudela, una ambulancia SVA y Policía Foral para atender a la conductora.
El cuerpo local refuerza su información de servicio con un nuevo perfil en Instagram, donde difundirá cortes de tráfico, manifestaciones y recomendaciones de seguridad, además de actividades, balances y vídeos de sus unidades.
El Gobierno de Navarra ha iniciado la tramitación para diseñar un nuevo carril en sentido sur, manteniendo el puente actual para sentido norte, peatones y ciclistas, con informe solicitado a la CHE.
La Clínica Universidad de Navarra ha impulsado una consulta especializada con audiólogos y neurólogos tras seis años de investigación, para detectar riesgos, tratar antes y mejorar resultados en pacientes mayores.
El sorteo de este jueves ha repartido un premio por terminación del primer premio en una administración de la Plaza Donantes de Navarra, mientras el segundo premio se ha ido íntegro a Alfafar.
La Unidad de Hemodinámica y Cardiología Intervencionista ha reforzado su respuesta al síndrome coronario agudo con un protocolo urgente, equipos disponibles y una UCI especializada para las primeras horas.
Bomberos, Guardia Civil, Policía Foral y Policía Municipal han rastreado la zona con drones y helicóptero. Al caer la noche, el dispositivo se ha reducido y ha seguido con un retén hasta el amanecer.
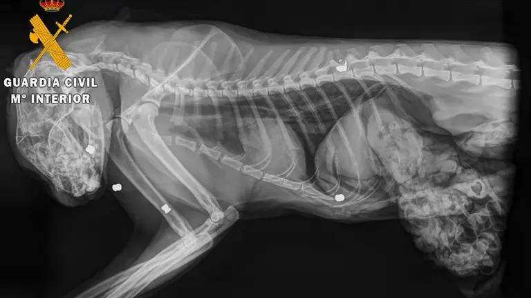
Los animales se han encontrado en diferentes puntos, lo que refuerza la hipótesis de que los ladrones los liberaron al no conseguir venderlos en el mercado negro.
El equipo de waterpolo de David Martín Lozano ha visitado el Ayuntamiento y ha entrenado en Amaya y Larraina durante varios días, antes de viajar a Belgrado para disputar el Campeonato Europeo.
El siniestro ha ocurrido en la rotonda del restaurante Peñalén de Peralta y ha movilizado a bomberos, equipo médico y Policía Foral. La conductora ha sido derivada al HUN con pronóstico reservado.
La formación foralista ha advertido de que las medidas aprobadas alivian trámites a perceptores pequeños y ha reclamado que el foco se ponga en quien vive del campo y sostiene la producción.
Los diputados navarros Sergio Sayas y Carlos García Adanero han presentado en Pamplona su balance del año, con críticas a las inversiones, a los servicios públicos y al clima político.
La Zona de Bajas Emisiones de Pamplona ha entrado en vigor en el Casco Antiguo y ha ligado los accesos a las etiquetas de la DGT, con excepciones y sanciones previstas.
La Asociación de Consumidores de Navarra ha llevado el caso a los tribunales tras una avería grave en un motor 1.5 BlueHDi. La sentencia abre la puerta a nuevas reclamaciones.
La imagen en directo, situada en la NA-718, permite planificar mejor los desplazamientos por la Sierra de Urbasa y adaptarse al tiempo, en una red foral que ya suma 20 cámaras.
El certamen escolar ha reunido 244 trabajos y ha premiado a estudiantes de cuatro categorías. El diseño ganador se publicará en el programa del próximo año tras un fallo unánime.
La cooperativa de Larraga ha trasladado y renovado el trujal, ha impulsado economía circular y ha empezado a vender aceite virgen extra con marca propia, tras aumentar la entrada de aceituna.
El Ayuntamiento de Pamplona ha activado la selección de tres plazas becadas para la Ruta Inti 2026 en Nepal, con dos ayudas para la franja de edad 18-25 años y una nueva para 26-30 años.
El equipo municipal de Ansoáin pintó en noviembre una “estación” imaginaria en el pasadizo Ostoki, dentro del proyecto Estación Ostoki, para ganar luz, cuidado y sensación de seguridad.
La Asociación de Consumidores Irache ha alertado de compras de balizas V-16 anunciadas como homologadas que no eran válidas. Recomienda verificar el número en la web de la DGT antes de pagar.
El Ayuntamiento de Tudela ha reconocido en el salón de plenos a diez empleados jubilados este año, con una insignia de la ciudad y un mensaje de gratitud del alcalde Alejandro Toquero.
Miles de personas han acompañado al carbonero en una kalegira con carrozas y animales. Antes de arrancar, la comitiva ha rendido un emotivo homenaje a integrantes fallecidos este año.
La coalición ha difundido en X la pintada aparecida en el quitamiedos de una carretera y ha mostrado su apoyo al portavoz parlamentario, al considerar “inaceptable” el insulto y la intimidación.
Los cuerpos policiales han activado dispositivos de Comercio Seguro y Tráfico en Navidad y han pedido planificar compras y viajes, vigilar pertenencias y evitar alcohol y distracciones al volante.
El prelado ha presidido una eucaristía en la capilla del Centro Penitenciario y ha pedido esperanza para el futuro, en un acto con capellanes, voluntarios y la Luz de Belén.
El creador de contenido, con más de 700,000 seguidores, ha publicado un vídeo emotivo en @anubisdimitri y ha pedido reflexionar antes de adoptar o comprar, para evitar decisiones impulsivas.
Los representantes sindicales han registrado una nueva petición al Ayuntamiento por el malestar interno, los expedientes disciplinarios y la falta de personal y medios en la Policía Municipal.
La AEMET ha previsto un miércoles de Nochebuena con nubes bajas y nieblas en el tercio norte, opción de lluvias débiles en el noroeste y viento más activo junto al Ebro.
Según un pacto con el Gobierno de Navarra, los promotores y constructores navarros se han comprometido a movilizar suelo privado de su propiedad para levantar las viviendas protegidas.
La inmunoterapia ha cambiado el abordaje de muchos cánceres, pero una parte importante de pacientes no responde porque su tumor logra evadir al sistema inmune.
La sentencia ratificada en Navarra considera nulos los despidos del 31 de diciembre de 2024 y señala fraude en contratos eventuales. La empresa ha anunciado que recurrirá al Tribunal Supremo.
El Ayuntamiento ha solicitado un incentivo por captura, más batidas y medidas en la NA-134, especialmente en la Recta de Arguedas, por daños agrícolas, seguridad vial y prevención sanitaria.
El Ayuntamiento ha clausurado el vaso de nado del complejo de Aranzadi tras una avería en las bombas de circulación. Las piezas se han enviado al taller y se busca reabrir el sábado 27.
ELA ha asegurado que la visita de Inspección a la planta de Landaben se ha hecho a finales de octubre y que el retraso ha dejado fuera a decenas de eventuales.
La jornada solidaria, integrada en Inverduras, ha reunido a vecinos con vermú, comida popular y tardeo, y ha reforzado el mensaje de prevención y apoyo a la salud masculina en la Ribera.
La tecnológica navarra ha activado un proyecto de diez meses para validar materiales ultrafinos con ondas THz, un paso clave para llevar del laboratorio a la fábrica la microelectrónica que viene.
El aniversario ha reunido a instituciones, clubes y referentes pelotazales, con un discurso centrado en la escuela, una insignia histórica y un 2026 cargado de actos y aspiraciones.
La Policía Local ha arrestado a un hombre de 50 años tras una agresión en el domicilio familiar. El parte del fin de semana ha sumado discusiones con menores, alcoholemias positivas y varias actuaciones nocturnas.
La Policía Municipal ha investigado desde noviembre las quejas vecinales por un portal de San Juan y, tras un registro autorizado por un juzgado, ha detenido a dos hombres con antecedentes.
Medio centenar de vecinos de la ciudad japonesa, hermanada con Pamplona, se ha conectado a una sesión de Zoom guiada por Nihonnipon para recorrer luces, belenes y costumbres como el desfile de Olentzero.
La presentadora de 'Vive San Fermín' desde 2022 cambiará el pañuelo rojo por la magia del 5 de enero y compartirá plano con una cara conocida del corazón.
La administración de la Avenida de Zaragoza ha vendido siete décimos premiados con 50.000 euros cada uno y su responsable, Eva María Galdeano, ha celebrado otro año de ilusión.
Las cocinas hospitalarias han diseñado propuestas adultas e infantiles, con opciones a elegir y alternativas adaptadas, para quienes han pasado Nochebuena y Navidad ingresados en Navarra.
La organización ecologista ha advertido de que la UE reclama el anticipo de 2021 tras no ejecutarse las medidas para las aves esteparias y ha pedido cambiar la gobernanza del parque.
La investigación, basada en un estudio piloto con 50 familias de Atención Primaria, ha buscado mejorar su experiencia de cuidado con entrevistas, plan de cuidados y seguimiento durante nueve meses.
El recinto municipal se ha organizado por edades y ha reunido areneros, juegos XXL, construcción y circo. Además, ha programado visitas y actividades especiales durante las vacaciones escolares.
La idea de dos docentes ha crecido durante un año hasta reunir diez villancicos, grabar un recopilatorio con el alumnado y organizar conciertos. El proyecto ha sido premiado por SER y COPE.
El coche ha sufrido una salida de vía y ha chocado contra un árbol en el kilómetro 14,8 de la NA-120. Emergencias ha movilizado bomberos, ambulancia y Policía Foral.
La histórica Villa Clementina, rehabilitada y lista para volver a ser hotel o residencia privada, ha salido al mercado en un entorno natural cercano a Pamplona.
El sorteo se celebra a partir de las 9.00 horas y mantiene el Teatro Real como escenario. Loterías recuerda cómo cobrar en ventanilla o banco, los plazos y qué importes quedan libres de impuestos.